La parodontologie permet de traiter les pathologies du tissus de soutien des dents (tissus ossseux et gencives), afin de maintenir vos dents en place le plus longtemps possible. Le Dr Nadège Fortier vous propose un panel de techniques modernes, allant de l'assainissement parodontal aux greffes de gencive ou d'os, vous permettant de conserver vos dents, mais aussi de reconstruire l'esthétique de votre sourire en cas de déchaussement.
Afin de rendre la pose de nos implants plus précise, plus fiable et plus prédictible, nous utilisons le système NOBEL BIOCARE X-GUIDE. Cette technologie nous permet de réaliser toutes nos interventions implantaires guidées par la machine, telle la navigation d'un GPS. Une planification implantaire sur l'examen radiographique 3D du patient est réalisée, permettant de positionner le ou les implants virtuellement dans la position idéale (comme on rentre l'adresse dans un GPS). Ainsi au cours de l'intervention, la machine localise dans l'espace l'instrument du praticien et la bouche du patient, nous permettant ainsi d'atteindre la position exacte prédéfinie de l'implant (comme un GPS vous guide vers l'adresse choisie).
La préservation de la dent n'est parfois plus possible, et l'implantologie permet, en dernier recours de remplacer une ou plusieurs dents absentes, sans abîmer les dents collatérales. Le Dr Nadège Fortier a choisi de poser exclusivement les implants NOBEL BIOCARE, inventeur du système dans les années 60 et leader mondial. Ceci est un gage de qualité et de sécurité.
Grâce au bloc opératoire dédié, avec sas, les interventions sont réalisées dans les meilleures conditions d’asepsie, y compris les greffes de sinus et les greffes osseuses. De plus, le cabinet est équipé d'un scanner multi-champs, nous pouvons ainsi prétendre à une autonomie complète dans les traitements implanto-prothétiques.
X Guide animation de Nobel Biocare
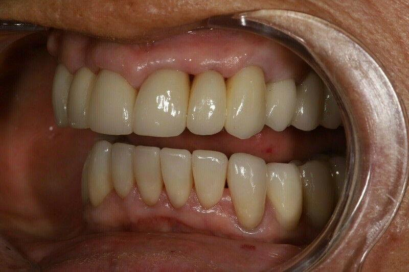
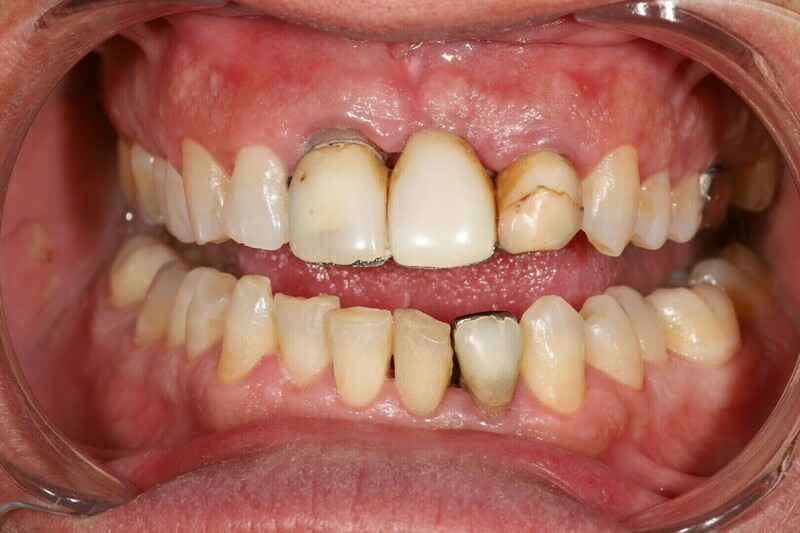
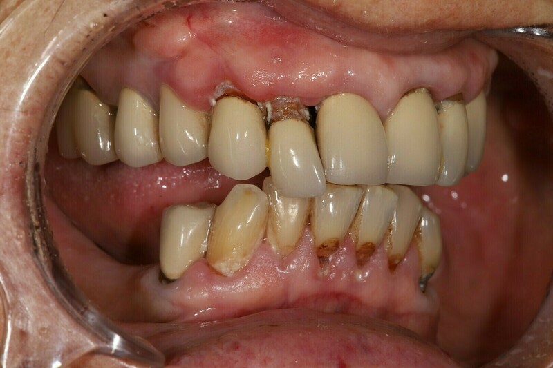
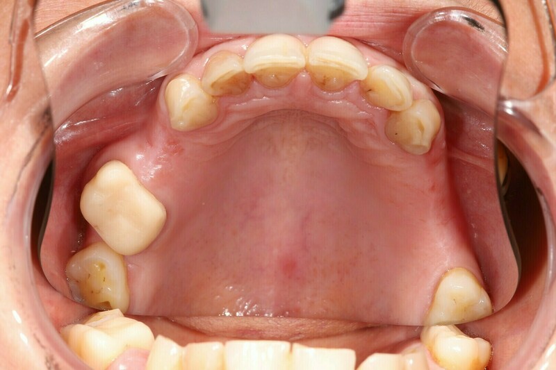
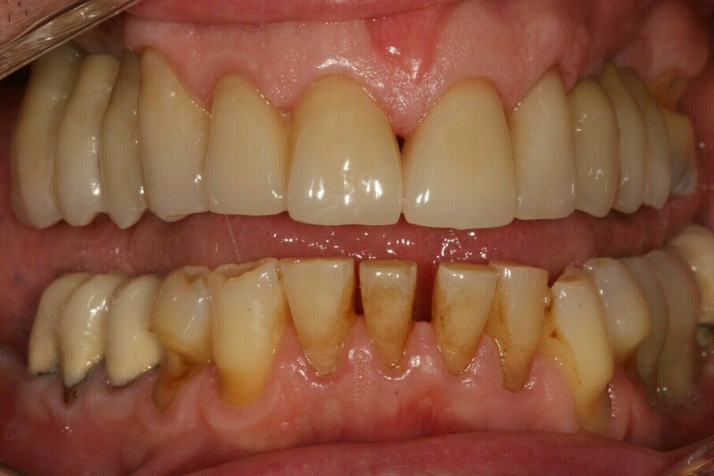
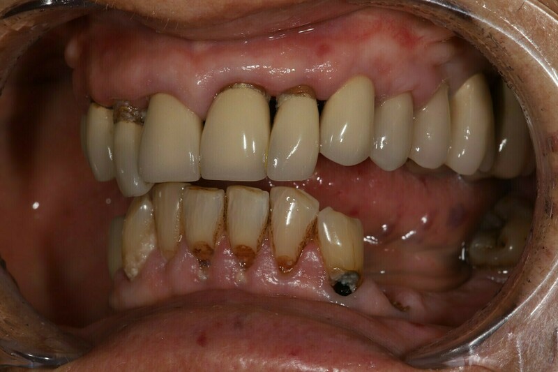
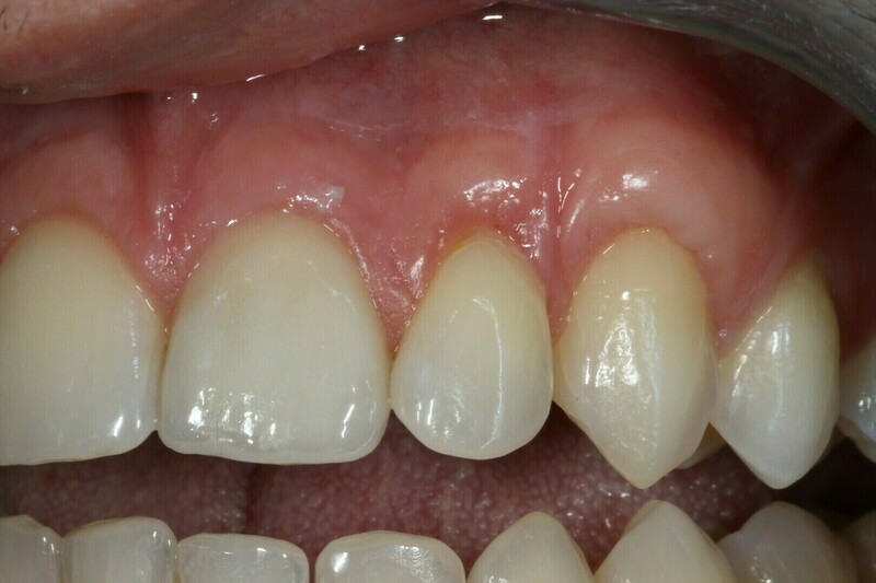
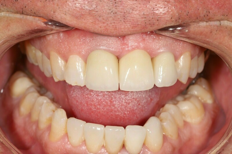
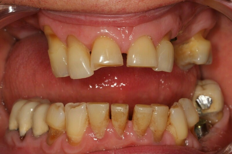
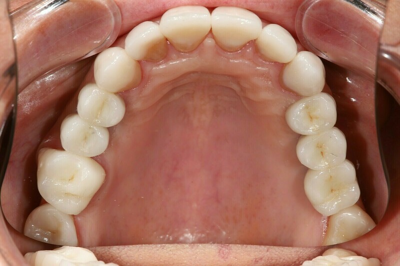
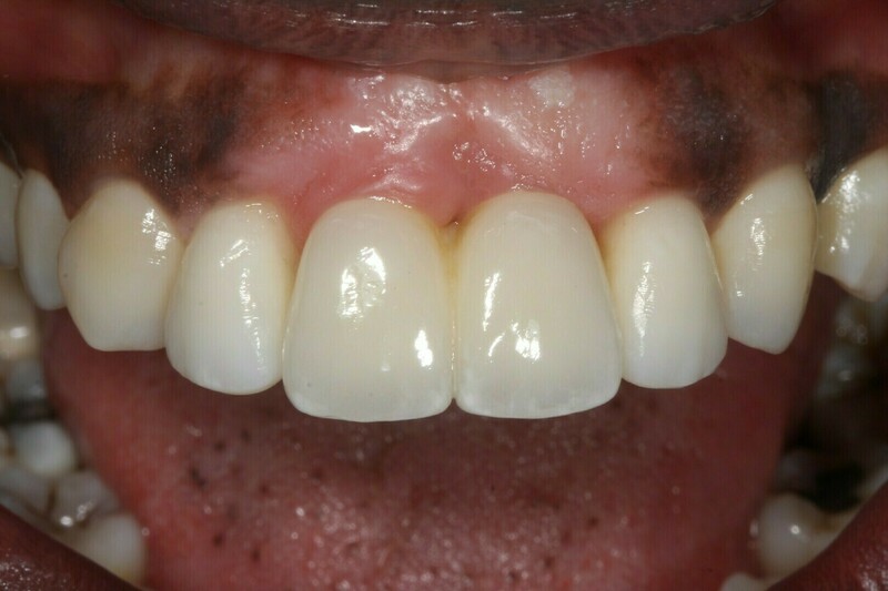
Voici quelques exemples de patients que nous avons traités dans notre cabinet (photos non retouchées)
Remplacement de 2 incisives centrales par 2 couronnes sur implants
Traitement de recessions par greffes de gencive (également blanchiment et ancienne couronne remplacée)
Remplacement de 5 dents absentes par 5 couronnes sur implants (ainsi qu'un traitement global par facettes)
Remplacement de 5 dents absentes par 5 couronnes sur implants (dans le cadre d'un traitement global)
Remplacement de 6 dents absentes par 6 couronnes sur 4 implants (dans le cadre d'un traitement global)
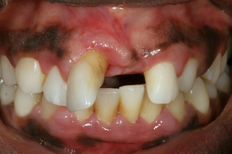
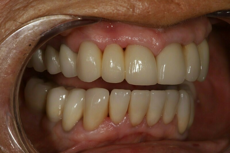
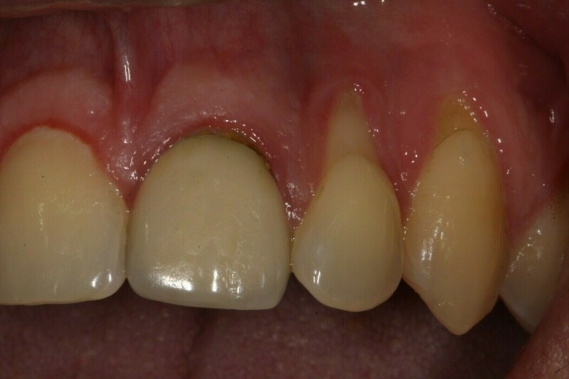
Remplacement d'une incisive centrale (dépose de l'ancien bridge) par une couronne sur implant et réalisation de 2 couronnes sur les dents collatérales
Greffe de gencive suite à une demande esthétique pour des déchaussements multiples
Remplacement d'une dent fracturée par la pose d'un implant et d'une couronne provisoire dans la même séance, et pose d'une couronne tout céramique
