L'esthétique dentaire a toujours été, pour le Dr Pierre Fortier, son sujet de prédilection depuis la fin de ses études en 1992, à tel point qu'il en a fait son sujet de thèse de doctorat. C'est également à cette époque qu'il a commencé à coller des restaurations esthétiques sous champ opératoire et réalisé les premiers blanchiments avec le système de gouttetière ambulatoire "Opalescence" (toujours utilisé aujourd'hui au sein du cabinet). C'est fort de cette expérience, qu'il propose aujourd'hui ces traitements esthétiques fiables.
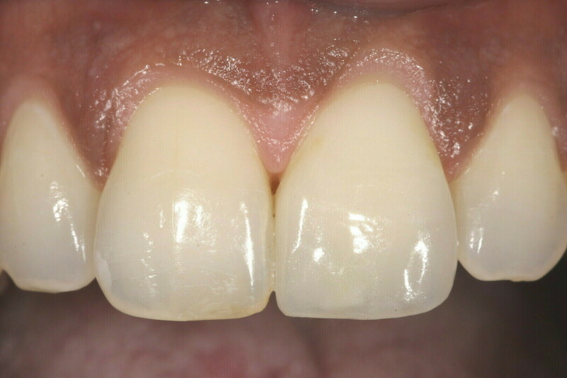
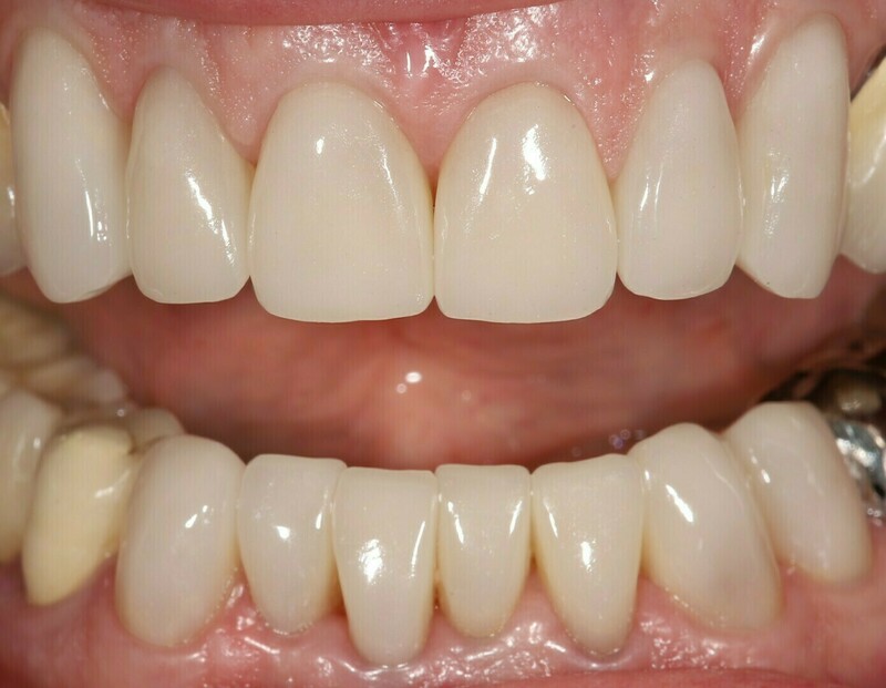
Avec l'avènement des céramiques modernes renforcées (E-Max Press) à la fin des années 2000, il a été rendu possible des restaurations ultra-fines (à partir de 2 ou 3 dixièmes de mm), ce qui a permis le développement de cette dentisterie minimale invasive (facettes pelliculaires esthétiques, traitement des abrasions et usures dentaires et traitement des érosions acides). Cette céramique renforcée, associée à la puissance du collage moderne, rend les facettes d'aujourd'hui (ainsi que les restaurations partielles en céramique en général) extrêmement fiables et performantes esthétiquement et y compris dans des situations de serrage ou de grincement de dents.
Toutes ces années à analyser le sourire de ses patients, permettent au Dr Pierre Fortier d'offrir la possibilité de faire des simulations esthétiques avant même le début d'un traitement, (appelées aussi "mock-up" ou masques esthétiques) afin de soumettre le projet de transformation au patient pour validation avant la réalisation des restaurations en céramique. De la sorte, le patient est sûr d'être satisfait du résultat.
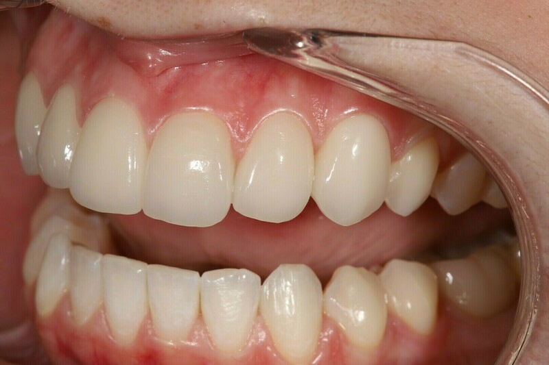
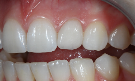
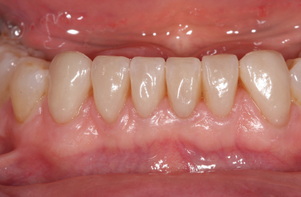
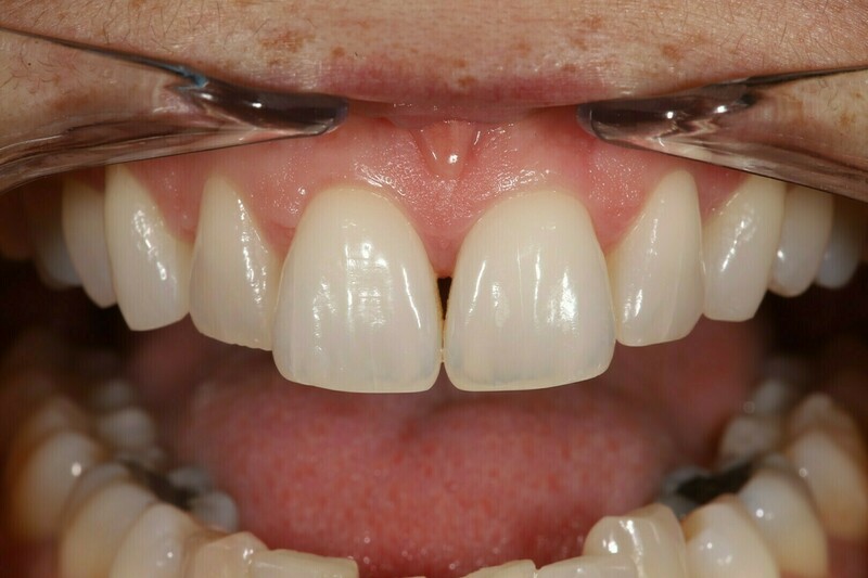
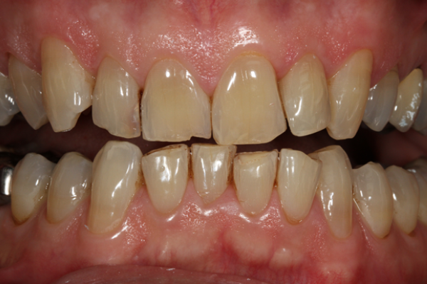
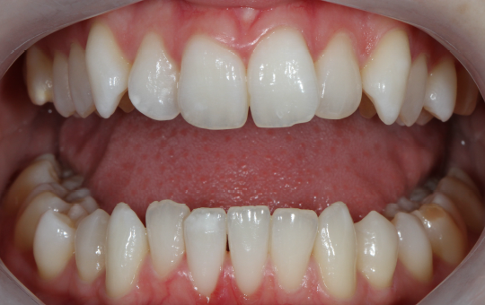
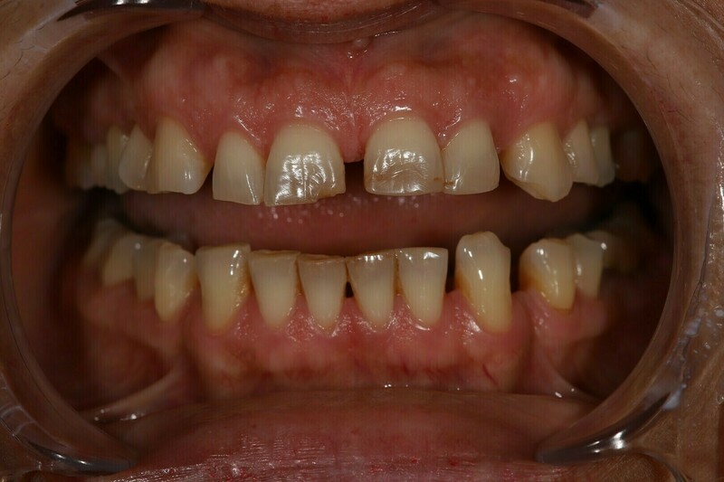
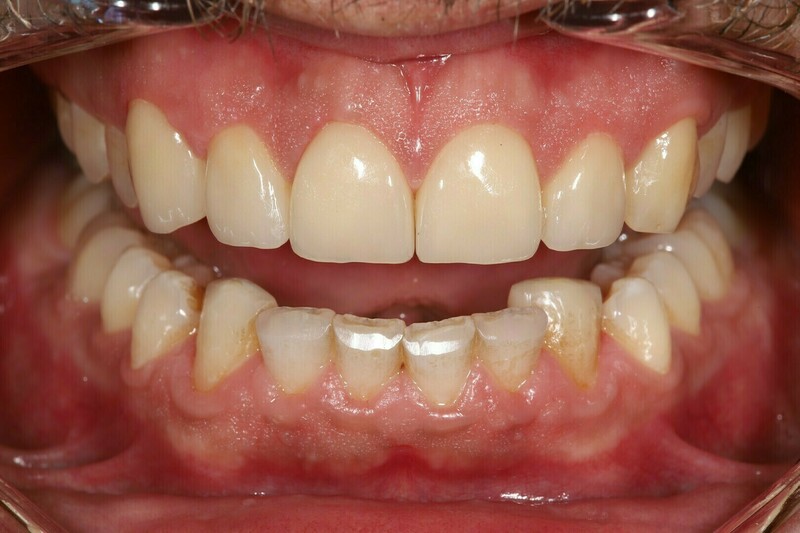
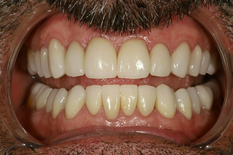
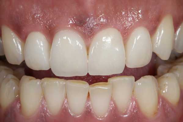
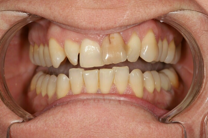
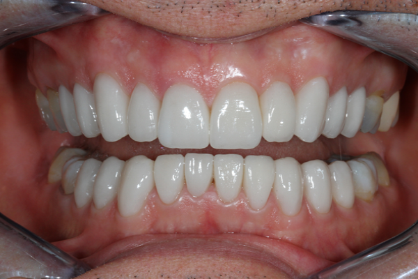
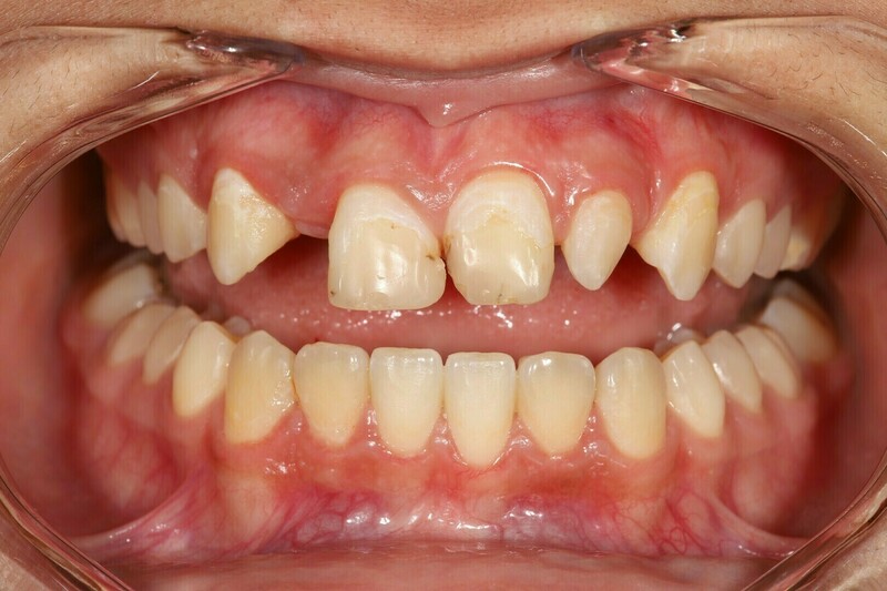
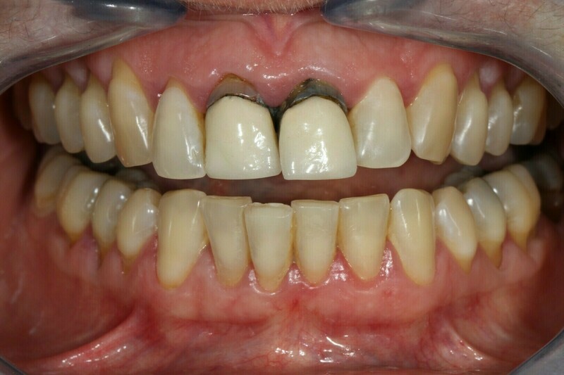
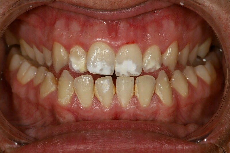
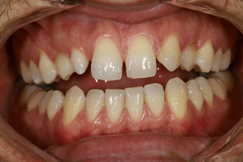
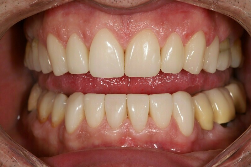
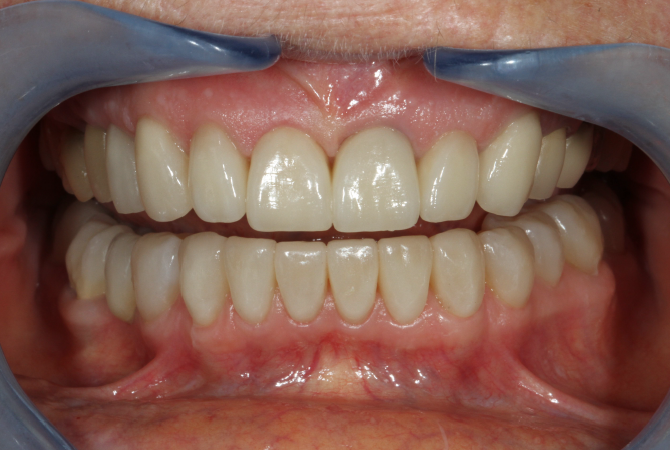
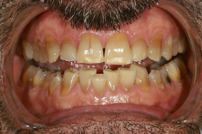
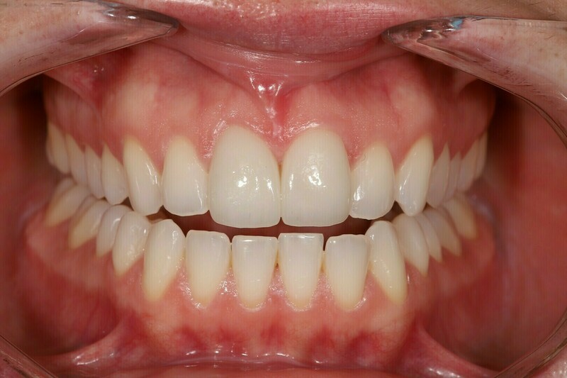
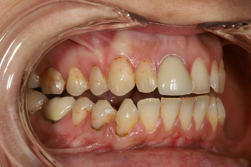
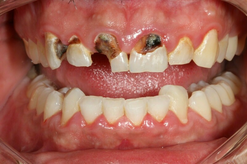
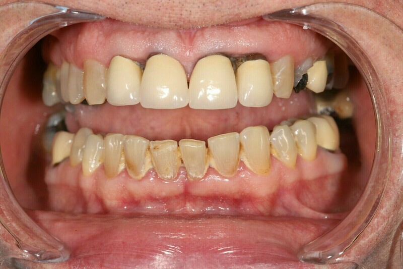
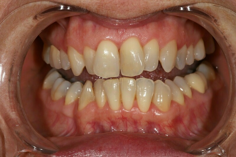
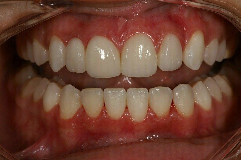
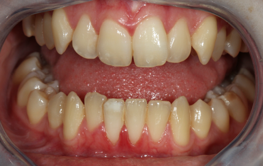
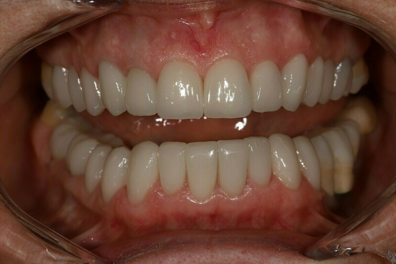
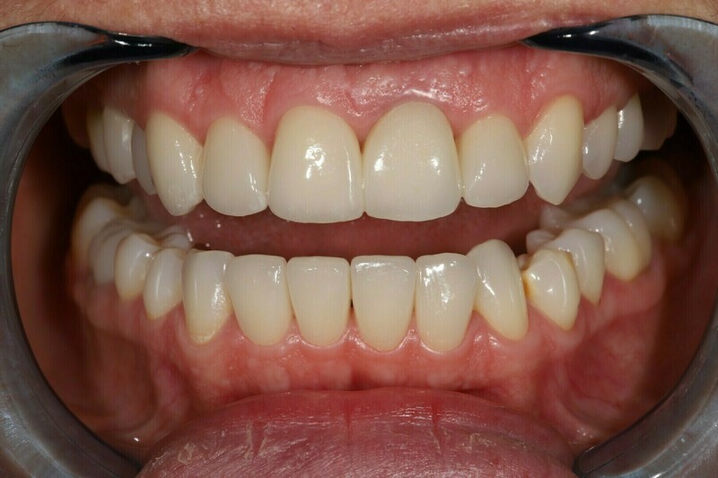
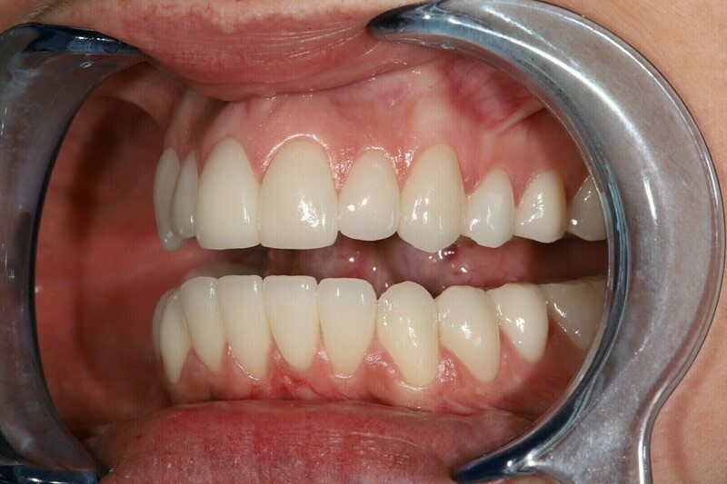
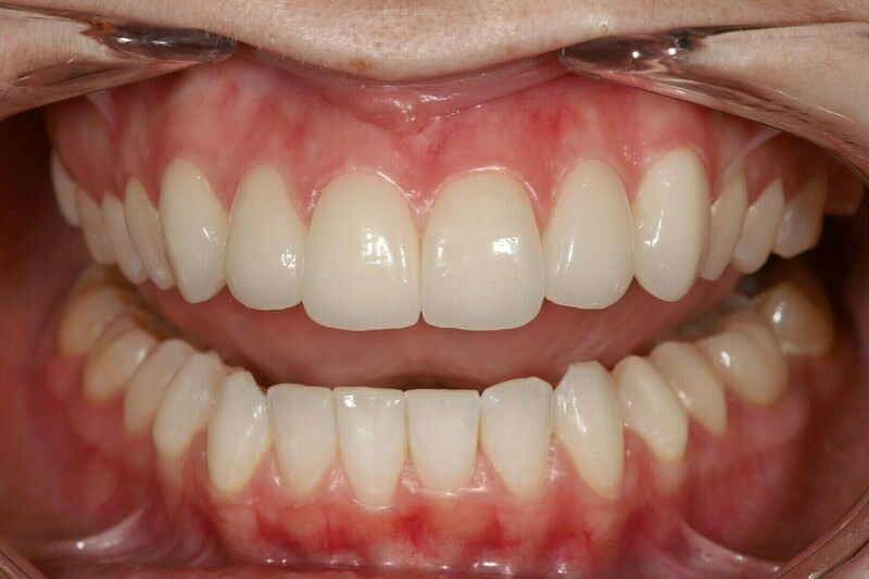
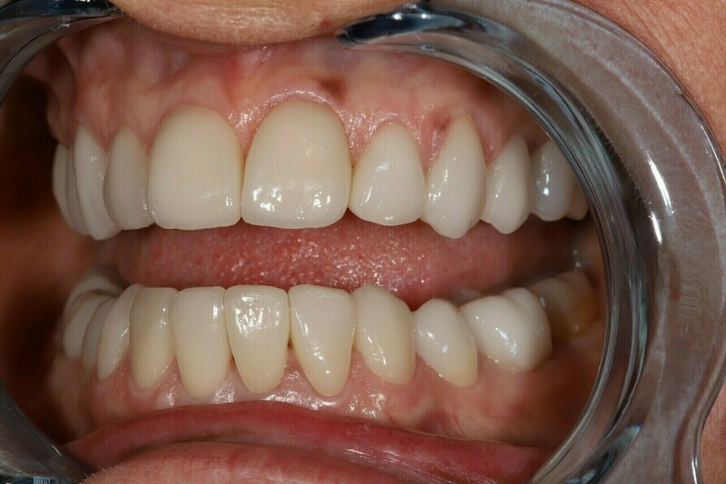
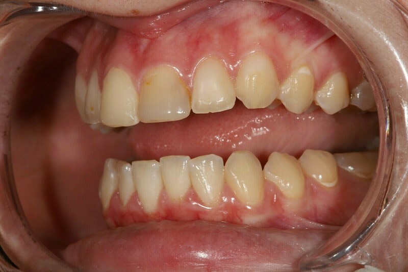
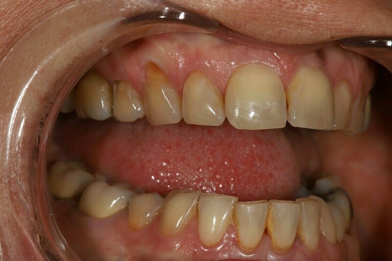
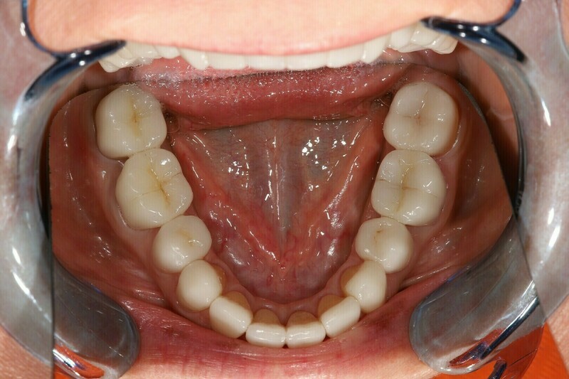
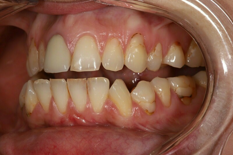
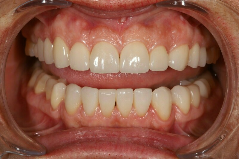
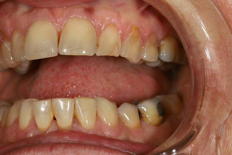
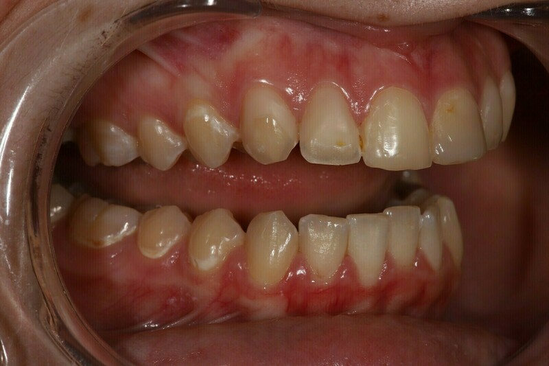
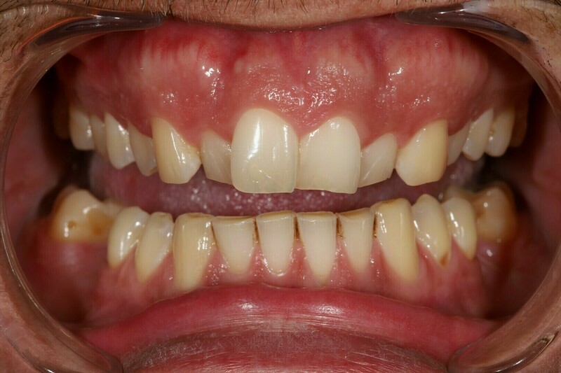
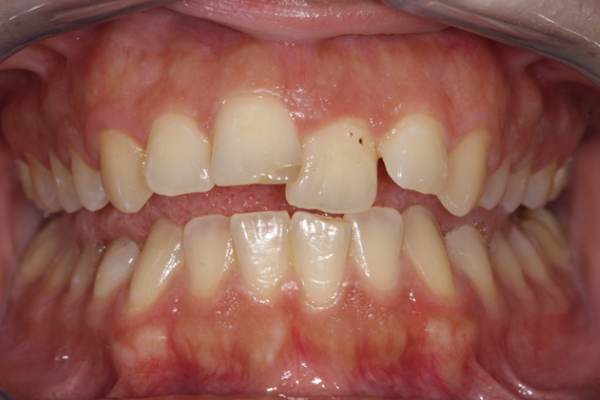
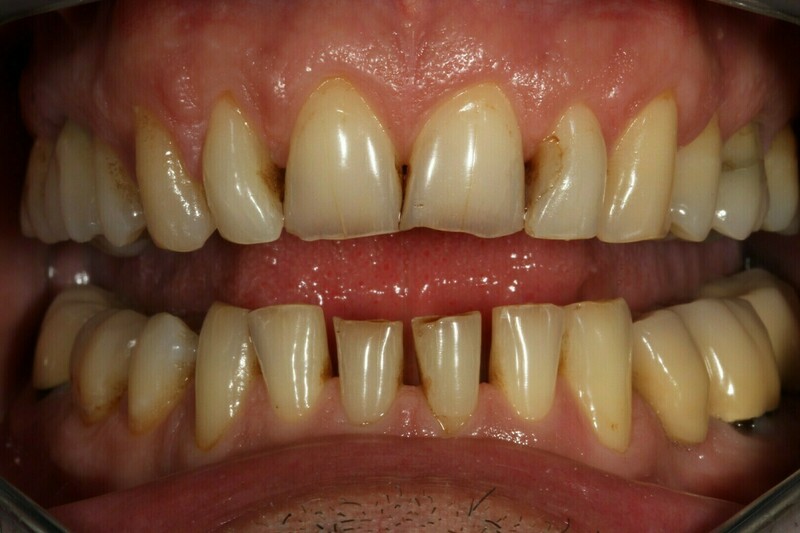
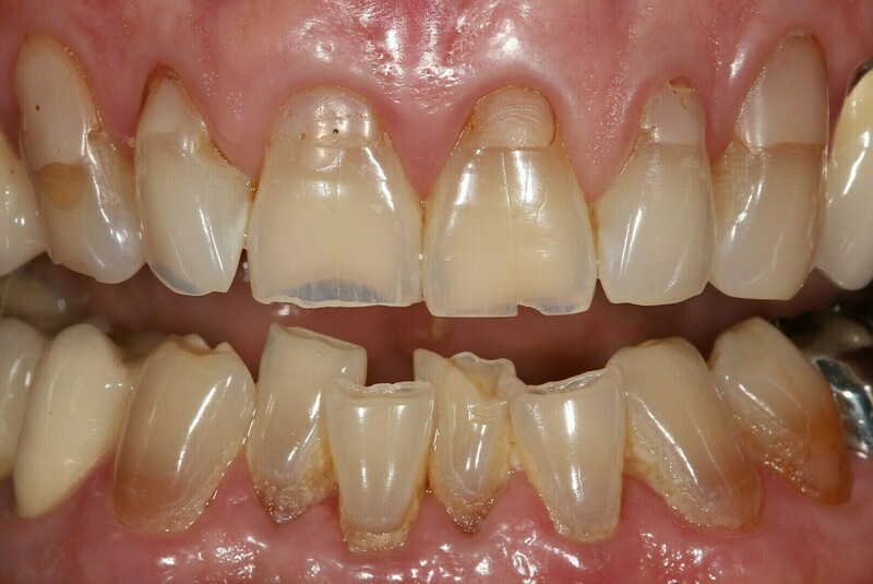
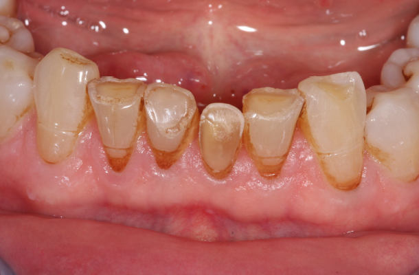
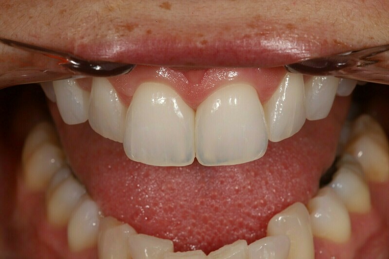
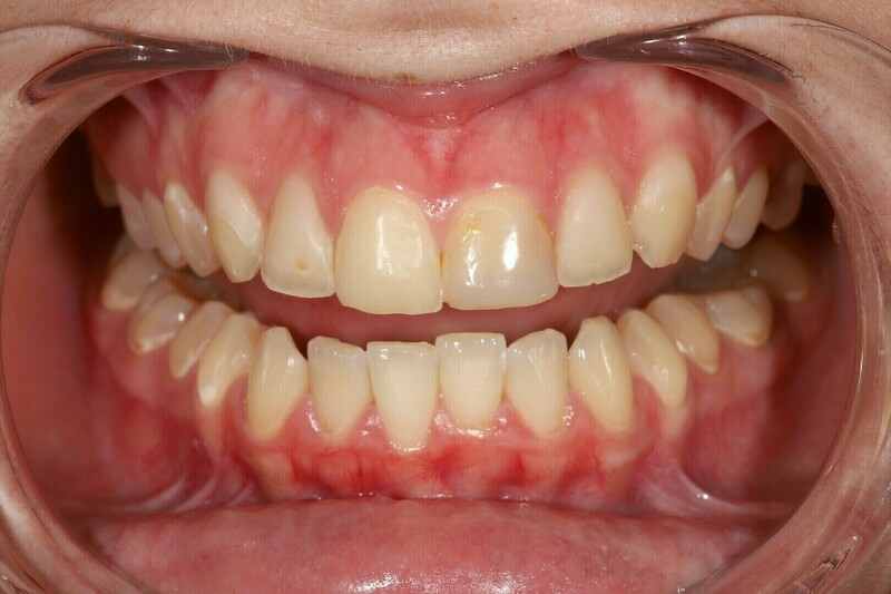
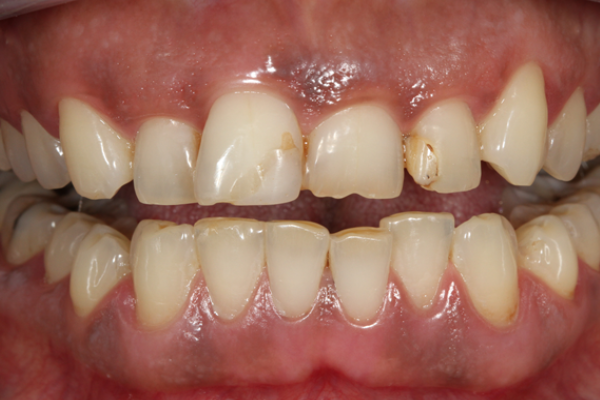
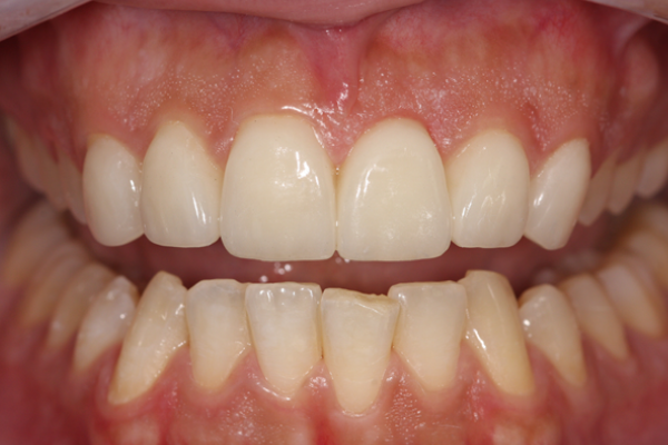
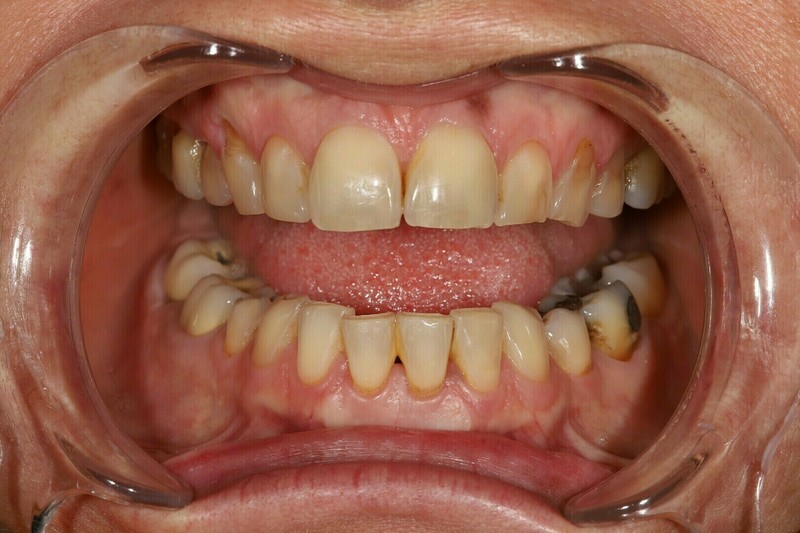
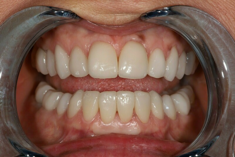
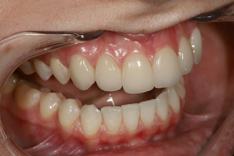
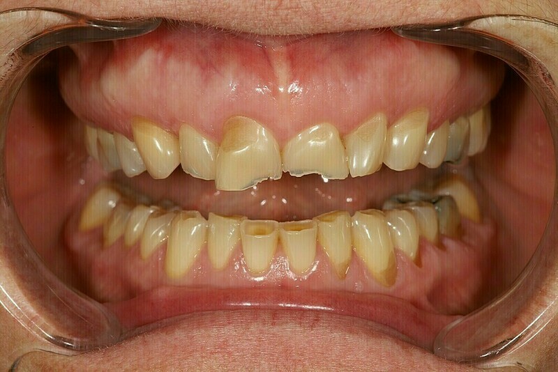
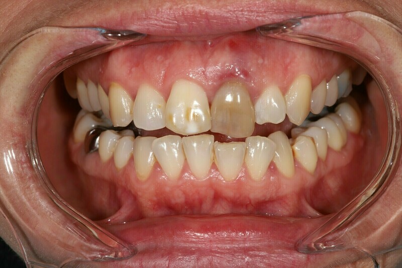
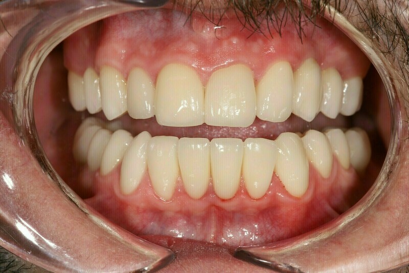
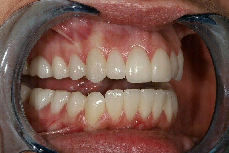
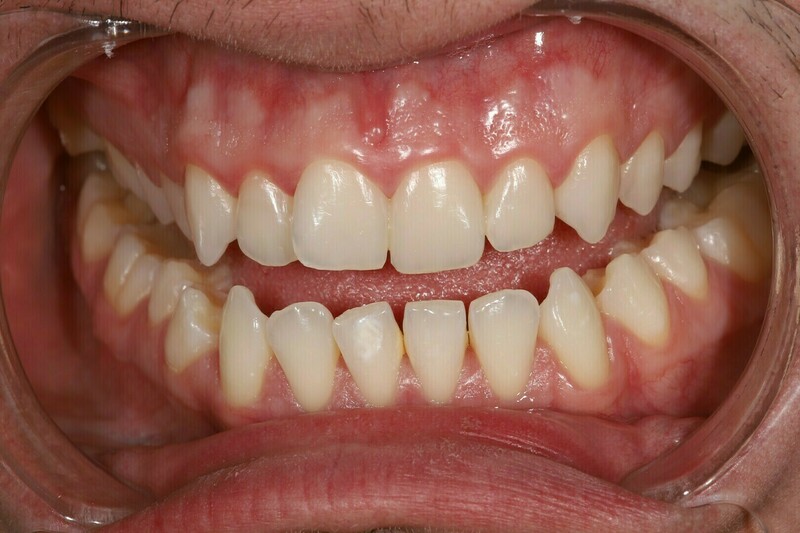
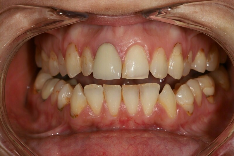
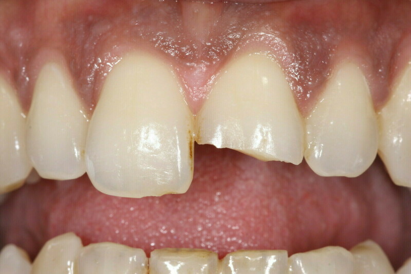
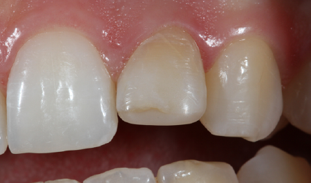
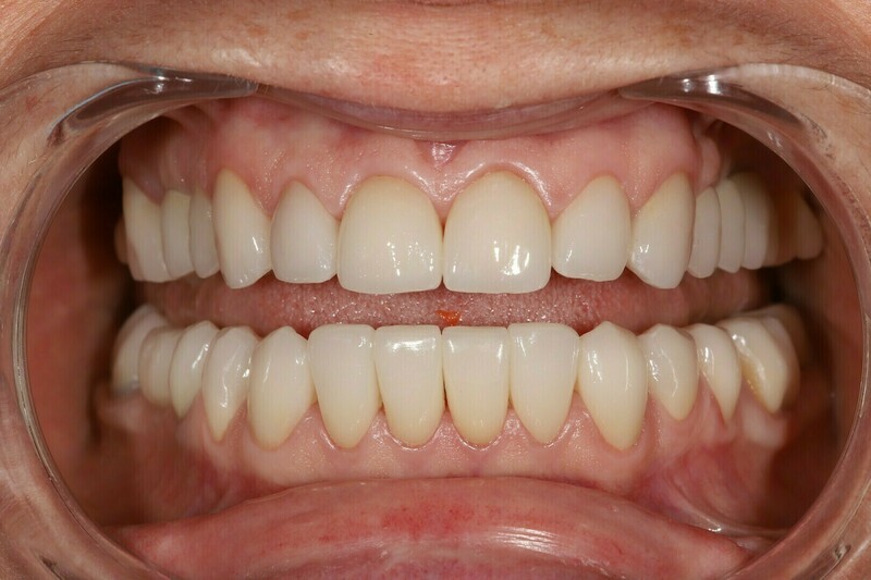
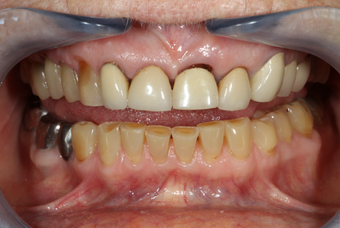
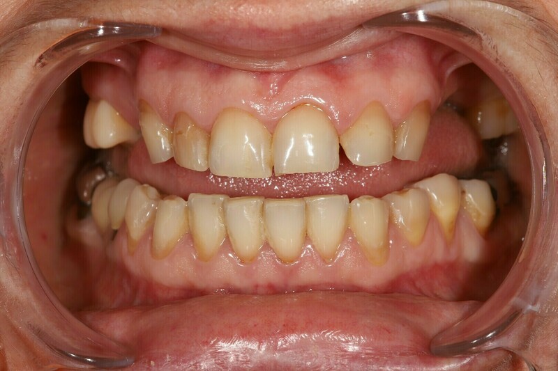
Voici quelques exemples de patients que nous avons traités dans notre cabinet (photos non retouchées)
